放射性PM2.5としての原発フォールアウト(セシウムボール)を考える
さて原発事故後の鼻血現象に関して、フォールアウトの影響を考える際、私は以前より鼻粘膜の炎症の可能性を指摘してきましたが、
http://d.hatena.ne.jp/sivad/20110906/p1
その後フォールアウト内容物にサイズ的にPM10~PM2.5(particulate matter, 粒径10μm以下〜2.5μm以下の微粒子)に相当する不溶性・放射性のセシウム(等)粒子が含まれていることが明らかになり、粘膜における動態をより詳しく考えることができるようになりました。現在セシウムボールと呼ばれているようです。
Emission of spherical cesium-bearing particles from an early stage of the Fukushima nuclear accident(http://www.nature.com/srep/2013/130830/srep02554/full/srep02554.html)
東電原発事故によって放出されたセシウムホットパーティクル(http://blogs.yahoo.co.jp/satsuki_327/40880543.html)
先日も小線源放射線治療の専門家である西尾正道医師らがその重要性を指摘していたようですが、これによって原発フォールアウトは放射性PM2.5と捉えることができ、生物学的な影響を考える際には、γ線や水溶性線源とは異なるその動態を考慮することが必要不可欠になります。
今回は放射性PMであるフォールアウト粒子の生物学的な動態を、類似のケースをもとに考えてみます。
が、まずその前に、なぜ放射性物質の生物学的な動態がそれほど重要なのか、について簡単に説明してみましょう。
皆さんは、放射線や放射性物質の被曝による炎症で組織がダメージを受ける場合、そのダメージは放射線のエネルギー(あるいはそれ由来の活性酸素)による組織破壊だと思っていませんか?
これはごく部分的にはいえるものの、被曝による炎症という現象全体を正しくとらえているとは到底言えない理解なのです。
被曝と生物学的影響の関係
では実際にはなにが起こっているのか。
http://finance.yahoo.com/news/sngx-soligenix-sgx942-good-candidate-160000772.html
より図を引用します。

これは放射線治療または化学療法の際に副作用として粘膜炎が起きる仕組みをあらわしたものです。
上の部分に、左端のノーマルな状態から、被曝を受けて変化していく様子が右向きに描かれています。見て分かるように、左から二番目、つまりRadiationを受けた時点では、組織の損傷はほとんどありません。この段階はInitiation、つまり炎症のトリガー部分にすぎないわけです。もちろんdamageはありますが、それは組織損傷の「本番」ではないのです。
しかし、これによってInnate responseつまり自然免疫系にシグナルが入ります。自然免疫系とは、いわゆる獲得免疫の前に働くもっとも基本的な免疫システムで、マクロファージや好中球といった免疫細胞が主役を担います。これらは特異的抗体を出すわけではなく、異物の侵入を示すようなシグナルを受け取ればそこに集合し、自分の組織ごと攻撃するのです。
これがAmplification「増幅」です。これによって集合した好中球やマクロファージが組織ごと攻撃を開始し、「粘膜炎」「潰瘍」といった炎症による明らかな損傷が生じるわけです。これによってバリアが破壊され、外部の雑菌等が侵入することでさらに炎症が悪化することもあります。これらのプロセスで異物や死細胞を除去できれば、炎症はやがて沈静化、組織再生に向かいます。
このように、被曝による炎症において、その損傷の大部分は自然免疫系の攻撃によるものなのです。
すなわち、生物学的な動態や条件が異なれば、被曝による影響も当然異なってくるわけですね。生物学的影響を考えるには生物学的動態の反映が不可欠なのは、このためです。*1
粘膜上の不溶性微粒子の動態
では、フォールアウトが不溶性の粒子であることは、γ線被曝や水溶性線源と比較して、生物学的にどのように異なるのでしょうか。放射性ではないものの、PM10やPM2.5の成分のひとつでもあり、フォールアウトの成分にも含まれるシリコン(ケイ素, Si)の微粒子についてみてみましょう。
シリコンはシリカ(二酸化ケイ素)の形で、日常的にもたくさんの製品に使用されており、化学的にも安定、そもそも人体にもある程度含まれている成分で、毒性はほとんどないと考えられてきました。
しかし、これがPM10~PM2.5といった不溶性の微粒子になった場合、吸引すると肺に慢性、場合によっては急性の炎症を生じ、典型的には珪肺と呼ばれる症状をきたすことがわかっています。
なぜ不溶性微粒子になると生物学的動態や影響が変わるのか?それは以下のように考えられています。
Reactive oxygen species (ROS) and reactive nitrogen species (RNS) generation by silica in inflammation and fibrosis
http://www.sciencedirect.com/science/article/pii/S0891584903001497
より図を引用します。

不溶性の微粒子が粘膜に付着すると、粘膜上のマクロファージ(肺粘膜にも、鼻粘膜にもマクロファージはいます。その他にも好中球、樹状細胞らが粘膜上の自然免疫を担っています)がこれを貪食し、異物として分解しようとします。この際、マクロファージは細胞内で粒子を分解しようとすると同時に、周囲に炎症性のサイトカインや、他の免疫細胞を誘引するケモカイン、蛋白質を分解するプロテアーゼや活性酸素などを放出し、炎症反応を拡大していきます。
しかし、こういった不溶性の粒子は分解できません。この場合、炎症反応は止めることができずに継続し、たとえ貪食したマクロファージが死んだとしても、誘引した別の細胞が貪食して炎症反応は続いていきます。この反応が大きければ組織の損傷は大きく危険な急性の症状になりますが、比較的弱い炎症も継続することで肺の組織を徐々に破壊して「線維化」し、本来の機能を失わせていきます。

また、シリカ自体の影響も複数の可能性があるようですが、一つのメカニズムとして、2価鉄をトラップすることでヒドロキシラジカルを生じ、マクロファージの炎症反応を促進していると考えられています。
さらに、吸引した肺粘膜の不溶性粒子は、貪食細胞によってリンパ組織にも移動することがわかっています。リンパ管はやがて静脈に合流しますので、結局は全身に移動可能ということになるわけです。
Histopathological Changes in Enlarged Thoracic Lymph Nodes during the Development of Silicosis in Rats(http://www.ncbi.nlm.nih.gov/pubmed/9717672)
また詳細な機序は不明ですが、シリカ微粒子によって活性化したマクロファージによって自己免疫が引き起こされる可能性も示唆されています。
Occupational exposures and autoimmune diseases. (http://www.ncbi.nlm.nih.gov/pubmed/11811933)
放射性PMとしての原発フォールアウトも、不溶性微粒子として、基本的な動態はこれと同様なものが想定されます。放射性であることで活性酸素の生成を通じて、さらに強い炎症促進能を持つ可能性が高いでしょう。
これらの機序と合わせて、環境中PMの増加が鼻血の頻度を増加させること自体はすでに報告があるため、双葉町の疫学的な結果と合わせても、フォールアウトによる鼻血増加の可能性を否定するのは無理筋というものです。
Airborne environmental pollutant concentration and hospital epistaxis presentation (http://www.ncbi.nlm.nih.gov/pubmed/15533154)
いわゆる「美味しんぼ問題」の基礎資料となるべき疫学調査の存在について(http://bylines.news.yahoo.co.jp/kawasakikenichiro/20140520-00035486/)
ただ、以前も述べたように、鼻粘膜の炎症による鼻血そのものは、命に関わるような深刻なものとは考えにくいといえます。鼻血とともに粒子が出てしまうなら、なおさらです。
しかし問題は、そういった放射性PMにさらされているということにあるのです。
放射性PMの与えうる健康影響
先に述べたように、被曝の生物学的影響において、被曝に対する生物側の反応はもっとも主要な要素です。ところが、ICRPに代表される被曝影響のモデルは、不溶性粒子やマクロファージに関するこのような知見に追いついておらず、その動態を反映できていません。不溶性粒子は吸収されないか、いずれ排出されるので問題なし、としているわけです。「想定外」というやつですね。
当たり前ですが、生物学的な動態を反映していないモデルでは、その動態に関する生物学的影響を考えることはできません。
したがって、放射性PMによる生物学的影響については、PMに関する環境医学の知見を参考にしながら、実際の健康影響をつぶさに見て対処することが必要になります。
従来のモデルでは説明できない、関係ないと思われているような症状も、こういった動態を考慮すれば生じうるかもしれないのです。
たとえばウクライナでは、「低線量」であっても、セシウム137汚染の度合いに応じて子どもの肺気量の減少や気道閉塞が報告されています。
137Cesium Exposure and Spirometry Measures in Ukrainian Children Affected by the Chernobyl Nuclear Incident (http://www.ncbi.nlm.nih.gov/pmc/articles/PMC2866691/)
こういった影響は特に放射性PMの関与が疑われるものでしょう。
その他にも低線量域での白血球の減少*2や、ウクライナ政府の報告書にあるような種々の症状は従来のモデルでは「考えにくい」のでしょうが、モデルの不十分さを逆手にとって「ありえない」かのような姿勢をとるのは医学としても科学としても本末転倒といえるでしょう。
Exposure from the Chernobyl accident had adverse effects on erythrocytes, leukocytes, and, platelets in children in the Narodichesky region, Ukraine: A 6-year follow-up study (http://www.ncbi.nlm.nih.gov/pmc/articles/PMC2459146/)
ウクライナ政府報告書(第3章、第4章)の日本語訳(http://blogs.shiminkagaku.org/shiminkagaku/2013/04/34-1.html)
国連人権理事会がすでに勧告しているように、基本的な血液検査は当然として、このような想定しうるあらゆる健康影響に関して、低線量地域であっても希望すれば十分な健診を受けることができる体制を整えるべきであり、またフォールアウトや土壌汚染レベルとの関連も精査されるべきだといえるでしょう。
鼻血問題は、放射性PMという原発フォールアウトの性質と、従来の被曝モデルの限界、そして健康影響の精査の必要性をあぶり出してくれたといえます。
参考:
その後「NHKサイエンスゼロ シリーズ 原発事故(13)謎の放射性粒子を追え!」で取り上げられ、「セシウムボール」という呼称になったようです。上記のような生物学的動態についてもきちんと考えていくことが必要ですね。
http://togetter.com/li/760376
PMの動態に関する現在の知見はこちらにある程度まとまっています。
微小粒子状物質健康影響評価検討会報告書
http://www.env.go.jp/council/former2013/07air/y070-24/mat01.pdf
7.1.3.2. 体内動態
呼吸器系に一旦、沈着した粒子は呼吸器系がもつ種々の機構により移行、除去される。鼻汁、粘液線毛輸送、咳、くしゃみ、肺胞マクロファージ等による貪食と貪食後の移動、嚥下、痰、上皮細胞による飲作用、間質への浸透、血流中への移行、リンパ系への移行等の機構がある。また、粒子の物理・化学的性状(溶解性、形状、粒径等)や生物学的特性(タンパク等との結合、細胞内での動態等)も動態には影響を与える。
セシウム・パーティクルに関するその後の情報
福島第一のセシウム、コンクリと反応か
http://megalodon.jp/2016-0627-1120-20/www.asahi.com/articles/ASJ6V35H4J6VULBJ001.html
セシウム89%はガラス粒子 原発事故で東京への降下物分析
http://megalodon.jp/2016-0628-0043-56/www.tokyo-np.co.jp/s/article/2016062701001576.html
Radioactive cesium fallout on Tokyo from Fukushima concentrated in glass microparticles
http://www.eurekalert.org/pub_releases/2016-06/gc-rcf062316.php
*1:こちらのような評価http://preudhomme.blog108.fc2.com/blog-entry-249.htmlが生物学的に無意味なのもこれでわかりますね。
*2:好中球の減少は造血系の障害だけが原因ではなく、自己免疫によって生じることもある
子宮頸がんワクチン副反応と、アジュバントによるマクロファージ性筋膜炎について
さて、先日の1月20日、子宮頸がんワクチンの副作用に関して以下のような厚労省の見解が発表されました。
接種後に長引く痛みやしびれなどが報告されている子宮頸がんワクチンについて、厚生労働省の専門部会は20日、副作用の原因や治療法を論議、接種時の痛みをきっかけに、緊張や不安などの心理的要因や生活環境などの社会的要因が、身体の症状として現れたとの見解で一致した。
【共同通信】
これに対して全国子宮頸がんワクチン被害者連絡会は
「多様な症状に苦しむ被害者の病態と被害実態を正しく把握し検討したものとは到底受け止められません」http://shikyuukeigan.fem.jp/2014/01/120.html
のように抗議声明を出しており、また日本消費者連盟も
「そもそもワクチンの副作用ではないかとの疑念を意図的に排除し、副作用かどうか真摯に検討しようとする姿勢が全く感じられない」http://vpoint.jp/education/11042.html
と強く批判しています。
「マクロファージ性筋膜炎(MMF)」の症状と酷似?
ここで特に注目すべきは、実際に30名以上の副作用患者を診察した国立精神・神経医療研究センター病院小児神経科の佐々木征行医師の見解です。
http://www.mhlw.go.jp/file/05-Shingikai-10601000-Daijinkanboukouseikagakuka-Kouseikagakuka/0000033872.pdf
http://iryou.chunichi.co.jp/article/detail/20131028164258980
佐々木氏は資料においてさまざまな可能性を検討していますが、特に
水酸化アルミニウムを含むA型・B型肝炎ワクチンによって起きる可能性がある「マクロファージ性筋膜炎(MMF)」の症状と酷似している
との見解を述べています。
水酸化アルミニウムはグラクソ・スミスクライン社の子宮頸がんワクチン、サーバリックス薬液に「アジュバント」つまり免疫反応を高めるための物質として添加されています。また配合は違いますが、メルク社の子宮頸がんワクチン、ガーダシルにもやはり含まれています。
ワクチン添付文書
http://www.mhlw.go.jp/stf/shingi/2r9852000002c06s-att/2r9852000002c0e2.pdf
この「アジュバント」、実は検討部会でも、信州大学医学部内科学第三講座の池田修一参考人によって言及されています。
池田参考人 ええ。だから、アジュバント関連関節炎とかワクチン接種後関節炎としてはかなり重篤なものが出ているのだなというふうに拝見しました。
http://www.mhlw.go.jp/stf/shingi/0000014833.html
ところが検討部会の委員らは、アジュバントの影響についてこれっきり完全に沈黙してしまいます。検討部会では薬液の影響ではないとしているようですが、アジュバントは明らかにワクチンの「薬液」です。
「マクロファージ性筋膜炎(MMF)」とはなにか?
では、佐々木氏の指摘した「マクロファージ筋膜炎」とは、どういう症状なのでしょうか。
この症状は英語ではMacrophagic myofasciitis(MMF)と呼ばれています。公式に報告されたのは比較的最近で、1993年にフランスで見つかったのが最初だといわれています。全身または四肢の筋痛、関節痛、発熱、強い疲労感などが特徴的な症状として知られています。生検の結果、筋膜にマクロファージそれに随伴してリンパ球が集積していることがわかり、このように呼ばれるようになりましたが、近年では運動遅滞、成長障害、認知障害、筋緊張低下症など、中枢神経系への影響も報告されています。
Pediatric macrophagic myofasciitis associated with motor delay.
http://www.ncbi.nlm.nih.gov/pubmed/16866298
Long-term follow-up of cognitive dysfunction in patients with aluminum hydroxide-induced macrophagic myofasciitis (MMF)
http://www.ncbi.nlm.nih.gov/pubmed/22099155
マクロファージはいわゆる白血球のひとつで、貪食細胞とも呼ばれます。体に病原体が侵入した際に真っ先にかけつけ、病原体を食べてしまう細胞です。その意味では体を防御する細胞なのですが、近年ではその攻撃能力が自分に向いてしまう場合があることがわかっています。
たとえば脂肪組織、肝臓、膵臓などに侵入して炎症を起こすと、メタボリック・シンドロームや糖尿病になってしまいます。血管内壁を攻撃して動脈硬化を起こしたり、脳に侵入して神経疾患を起こすこともあります。同様に、MMFでは筋膜に侵入して悪さをしている、ということですね。いわゆる諸刃の剣、というやつです。
ではここからは、アジュバントとマクロファージ性筋膜炎の関係を明らかにした論文
Macrophagic myofasciitis lesions assess long-term persistence of vaccine-derived aluminium hydroxide in muscle
Gherardi, et al (2001)
http://brain.oxfordjournals.org/content/124/9/1821.full
をもとに概説しましょう。図や写真は、すべてこちらの論文からの引用になります。
さてこの論文の著者らは、原因不明のMMFの実態を探るべく、1997年から1999年のフランスにおけるMMF患者の調査を始めます。
そこで、ワクチン接種の情報が得られた患者50人について検討すると、全員が水酸化アルミニウムのアジュバントを使ったワクチン接種を受けていることがわかりました。年齢は12歳から77歳まで、接種から生検までの期間は3か月から96か月まで。いずれも非常に広範にわたります。

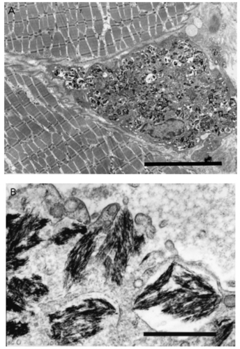
組織の様子は以下のように、やはり筋膜にマクロファージおよびリンパ球が集積していることがわかります。

Aはヘマトキシリン・エオジンという色素での染色。筋外膜(下部の赤いところ)の上に、ぎっしりとマクロファージとリンパ球が浸潤してることがわかります(淡いピンクに青っぽい粒)。BはマクロファージのマーカーCD68で染色(赤)、CはT細胞のマーカーCD3での染色(赤)です。
さらに電子顕微鏡で、組織を詳細にみてみます。それが以下のモノクロの図。

Aでは上下の筋膜の間にごちゃごちゃとマクロファージらが入り込んでいる様子がよりくっきりわかりますが、もっと目を凝らすと、奇妙な構造が見えてきます。それがBで、浸潤したマクロファージの中になにやら黒いカタマリが散見されます。この構造はMMFの患者さんでは調べた40人中40人見つかりましたが、皮膚筋炎および筋ジストロフィーの患者さん80人ではゼロでした。
著者らはここに、ワクチンに使用したアルミニウムとの関連を疑います。
そこで、組織の浸潤マクロファージをX線成分解析にかけます。するとドンピシャ。

Alの高いピークがみえます。やはりマクロファージにはアルミニウムが蓄積していたのです。
核反応解析で組織でみても一目瞭然、

筋細胞の周辺のマクロファージ領域のみ、Al、アルミニウムの集積が認められます。一番下のはP、リンの分布で、これは当然ながら全体にみられます。
マクロファージは血中の鉄をとりこんで蓄積する性質がありますが、同様に他の金属も集積する場合があります。しかしそれがどういう影響を及ぼすのかは、まだよくわかっていないのです。
またこの時、筋肉や血清のアルミニウム濃度を測定してみると…

MMF患者の筋肉ではアルミニウム濃度が大きく上昇していますが、血清では通常値と変化ありません。したがって、血清の測定ではMMFかどうかの判断はできないということになります。
ここまでで、MMFの患者さんでは筋膜にマクロファージが集積しており、そのマクロファージはアルミニウムを蓄積していることが明らかになりました。
じゃあワクチンアジュバントの水酸化アルミニウムでこんなことが起こるの?となるのですが、人体実験するわけにもいきませんので、ラットで実験してみます。
水酸化アルミニウムアジュバントを含んだHBV(B型肝炎)ワクチンをラットに打つと…

やはりヒトと非常によく似た形で、筋膜へのマクロファージの集積が起こりました。
これらのことから、ワクチンアジュバントの水酸化アルミニウムはマクロファージ性筋膜炎MMFを引き起こし得る、といえるわけです。
くりかえしますが、サーバリックスおよびガーダシルのアジュバントには、水酸化アルミニウムが含有されています。
子宮頸がんワクチン副作用がMMFだけで説明できるかはともかく、この状況でアジュバントの影響を無視するのは、どうみても科学的態度とはいえません。
検討部会は「心身の反応」なる不明確な主張をしているようですが、それこそなんの根拠も示されていません。
佐々木、池田両医師の主張のように、アジュバントおよび水酸化アルミニウムの影響をただちに検討、調査するのが、検討部会のとるべき方向であり、患者の救済および薬害の防止における科学的社会的姿勢だと断言できるでしょう。
追記:
以下のように部会資料においてアルミニウムについて触れている部分があります。が、上記の知見からアルミニウムの影響を除外できないことがわかります。
http://www.mhlw.go.jp/file/05-Shingikai-10601000-Daijinkanboukouseikagakuka-Kouseikagakuka/0000035213.pdf
1.発症時期は症例によって様々であり、発症後の症状の経過にも一定の傾向がない。
2.子宮頸がん予防ワクチンにはアジュバントとしてアルミニウムが含まれる。しかし、専門家によれば、動物実験の結果からワクチンの筋注による血清中のアルミニウム濃度の増加はわずかであると推定されこと、アルミニウムは急速に体内から排出されることから、アルミニウム中毒によるものとは考えにくいとされた。
3.サーバリックスにはアルミニウム以外のアジュバントが含まれるが、サーバリックスに有意に報告頻度の高い副反応は検出されていない。
反論:
1.→上記論文にあるように、症状の分布はワクチン接種後から非常に長い期間(3〜96か月)にわたる。またMMFだけでなく複数の自己免疫疾患なども報告されている。
2.→上記論文より、血清中のアルミニウムではMMFかどうかの判断はできないことがわかる。筋組織またはマクロファージにおける蓄積を確認する必要がある。また筋膜のマクロファージにおけるアルミニウムの蓄積に関しては通常の代謝経路では判断できない。
3.→上記のように、アルミニウム関与の可能性は排除できていない。ガーダシルと比較しても、ガーダシルにもアルミニウムが含有されており、やはりアルミニウムの関与を排除できない。
ちなみに薬害オンブズパースンにより、グラクソ・スミスクラインの論文に対して以下のような疑義が提出されているようです。
「子宮頸がんワクチン」(HPVワクチン)の費用対効果に関する見解
http://www.yakugai.gr.jp/topics/topic.php?id=853
また、ケースレポートではありますが、免疫吸着療法(血中の自己抗体を除去する手法)によてHPVワクチン接種後のacute cerebellar ataxia (ACA) が寛解した例が報告されています。
https://www.thieme-connect.com/DOI/DOI?10.1055/s-0033-1333873
HPVワクチンのエビデンスと費用対効果、副反応に関する疑義についてはこちらが詳しいです。
Tomljenovic & Shawの論文「ヒトパピローマウイルス(HPV)ワクチン政策とエビデンスに基づく医療−両者は相容れないのか?」
http://tip-online.org/index.php/news/70-news20131108
参考:
予防接種・ワクチン分科会副反応検討部会
http://www.mhlw.go.jp/stf/shingi/0000035220.html
委員名簿
http://www.mhlw.go.jp/file/05-Shingikai-10601000-Daijinkanboukouseikagakuka-Kouseikagakuka/0000035212.pdf
東京新聞
子宮頸がんワクチン中止訴え、都内で国際シンポ 「アルミが副作用原因」専門家指摘
http://www.tokyo-np.co.jp/article/national/news/CK2014022602000121.html
原発批判の原点を読もう・武谷三男編「原子力発電」
1976年の刊行ながら、現在にいたる原発の問題点をほぼ網羅している名著。
福島原発事故に対しての科学的考察に関しては昨年に出た牧野淳一郎氏の
原発事故と科学的方法 (岩波科学ライブラリー)
がマストですが、その牧野氏も文中で挙げ、問題意識の原点ともなったといえそうなのが武谷三男編「原子力発電」

- 作者: 武谷三男
- 出版社/メーカー: 岩波書店
- 発売日: 1976/02/20
- メディア: 新書
- 購入: 2人 クリック: 18回
- この商品を含むブログ (3件) を見る
序章において、いわゆる原水爆時代の発想から原子力を推進しようとする日本の政治と、これに便乗しようとする学術界、その歴史的経緯と批判が展開されます。
本書の本編は原発に関する技術的科学的な議論で、それは牧野氏の洞察の基礎となった重要な部分なのですが、冒頭のこの歴史部分もそれに劣らずじつに興味深いのです。
日本学術会議の発足は1949年。おりしも同年、ソ連が原爆実験に成功し、米の独占体制が崩れます。核開発競争時代の幕開けです。
1950年には朝鮮戦争が勃発。1951年にはオスロのオランダ・ノルウェー合同原子力研究所の天然ウラン重水型研究炉が完成し、運転を開始します。
これらを受け、1952年、『科学』誌上にて原子物理学者の菊池正士氏が原子炉推進論を展開。さらに、日本学術会議の茅誠司氏と伏見康治氏が秘密裏に原子力計画を進めていることが発覚し、武谷氏らの科学者が反発。以下、経緯を引用します。
これは政府部内に原子力のための委員会をつくり、それによって研究費をとろうという計画で、政府、自由党の政治家と連絡があるらしいということであった p10
伏見氏の「原子力機関社説」、すなわち最初から政府部内に原子力委員会をつくると予算がうんと出て、これが機関車になって科学予算が増えるという見解を批判した p13
第一に原子力研究は桁ちがいの予算と多数の専門家を動員するので、政府の研究統制を助長する危険がある、第二に自由な研究、他部門の研究を圧迫する危険、第三に秘密の問題をひきおこし、自由な討論をはばむ p13
昭和二十九年(一九五四年)度原子炉予算二億三〇〇〇万円が突如として改進党中曽根康弘氏を中心に提出され、直ちに衆議院を通過した。中曽根氏は茅氏に「学者がぐずぐずしているから、札束で頬をひっぱたくのだ」といったと伝えられた p13
このように、日本学術会議は発足当時より、原子力行政・業界と密接な関係を持っていたことがわかります。
実際、日本学術会議は2011年震災後の7月11日、「放射線を正しく恐れる」と題した緊急講演会を開催していますが、
http://www.scj.go.jp/ja/event/houkoku/110701houkoku.html
司会は、例の唐木英明氏。日本学術会議副会長でありながら、以下にあるように、事故後にICRPの現存被ばく状況の考え方を「閾値あり」であるかのような誤った情報を拡散し、また住民参加や情報公開の原則を歪曲し続けている人物です。
http://www.foocom.net/column/karaki/4274/
さらには、高線量被曝の直前にあらかじめ低線量被曝させておくと一時的に耐性が増す可能性があるという、実験室でのごく限定的な現象であるホルミシス効果を事故被曝の文脈で持ち出すという、ありえないひどさを誇る山岡聖典氏にまで講演させています。
まさに学術会議主導で原子力業界に「寄り添い」、誤った認識を広報してしまった典型例といえるでしょう。
もちろん、ICRPもWHOも閾値説はとっておらず、閾値を実証した科学的根拠もありません。100mSv以下はわからない、というのもウソであって、古くはoxford survey、近年ではCTscanおよび自然放射線に関する大規模調査で4~10mSvからのリスクが報告されています。
http://www.ncbi.nlm.nih.gov/pmc/articles/PMC2009418/
http://www.bmj.com/content/346/bmj.f2360
http://www.nature.com/leu/journal/v27/n1/full/leu2012151a.html
個人で勝手に信じるのは自由でしょうが、公的な被曝対策において閾値を持ち出すのは明確なまちがいといえるでしょう。
さてホルミシスは論外として、100mSv以下は大丈夫とか影響ないとか確認できないとかいう「閾値あり」な人たちは唐木氏だけではありません。
第3回「放射線の健康影響に関する専門家意見交換会」の討論でも津田敏秀氏や高辻俊宏氏によって批判されたように、
http://www.ustream.tv/recorded/41936844
「専門家と称する方で、100 mSv以下では癌が出ない、という風なことが言いたげなことを堂々と述べてらっしゃる方」は少なくないのです。
代表的なところでは放医研の「放射線被ばくの早見図」。現在は寄せられた批判により改定されていますが、もともとは100mSvの赤線以下において「がんの過剰発生がみられない」と明らかなまちがいを記述。
http://www.nirs.go.jp/information/event/report/2013/0729.shtml
http://www.nirs.go.jp/data/pdf/hayamizu/j/20130502.pdf
現在は「がん死亡のリスクが線量とともに徐々に増えることが明らかになっている」とされていますが、相変わらず100mSvに赤線を引き、その上に矢印を置くという姑息さを発揮しています。
これに続いたのかはわかりませんが、ざっと検索したところ、たとえば以下のような方々が事故後に『100mSv論』を展開していたようです。
『100mSv』山下俊一、長瀧重信、丹羽太貫、中川恵一、田中俊一、中村仁信、石川迪夫、菊池誠、水野義之、浅井文和、岡崎明子、斗ヶ沢秀俊、伴信彦、早野龍五(Forbesなどを広報)、鈴木寛、文部科学省、日本小児科学会、日本産科婦人科学会 『もっとひどい年100mSv』野尻美保子、石井孝明、ダニエルカール、島田義也、松田尚樹、大前研一、松永和紀(後に「年」を削除)、衣笠達也、浅沼徳子、宇野賀津子 『おまけ月100mSv』野尻抱介(敬称略)
たぶんまだまだおられるんじゃないでしょうか。
興味深いことに、こういう論法は1954年ビキニ水爆実験による第五福竜丸被曝事件*1の際に、すでに使われているのです。
米国側は原子力委員でノーベル賞科学者リビー博士が放射能の許容量をたてにとって、原水爆の降灰は許容量以下であるから無害であると主張した p14
それに対して武谷氏は
許容量とはそれ以下で無害な量というのでなくて、その個人の健康にとって、それを受けない場合もっと悪いことになるときに、止むをえず受けることを認める量であり、人権に基づく社会的概念であることを明らかにして闘った p15
と述べています。実にまっとうですね。
ちなみに同じ頃、輸入米に黄変米が見つかりその有害性が指摘されましたが、政府は科学的に明らかでない、という論法によって多くの反対を押し切り配給を強行。その後高い毒性が明らかになり、配給を断念することになります*2。
何度でも同じことを繰り返す、というわけです。
ここから廃棄物処理の困難、原子炉の構造とその技術的弱点、事故が起こりうるメカニズム、放射線被曝の晩発性障害の問題、核燃料サイクルの非現実性など、ことごとく現在の大問題を予見し論じています。
原子力産業における社会的な問題に対する見識もじつに鋭く、現規制委員長に爪の垢を煎じて飲んでいただきたいといわざるをえません。
引用したいところが多すぎて困るのですが、何点かハイライトをば。
原子力発電の利益にあずかる一部の人々が、被害を弱い人々に押しつけておきながら、公共の名を利用して社会全体として利害のバランスが成立すると主張している p84
自然放射線の存在は私達のコントロールできぬものであるが、それと比較して人口放射線の許容レベルを論じようという話が横行している p85
日本の原子力は他の産業と同じように、大企業は下請けに注文し、下請けはその下請けにもっていって、最後の現場は労働条件の劣悪な臨時工におしつけられる p158
政府や業界に都合のよい科学者、技術者だけが委員会などに採用され、かれらの見通しは常に間違ってきた。正しい見通しをもってこれまでのやり方を批判してきた人々は外されたままである p202
地元住民がその生活圏に原子力発電所をうけ入れるかどうか、一人一人の判断に必要な材料は、当然、提供されなければならない。抽象的に絶対安全・完全無害の宣伝をくり返し、具体的には商業秘密の名のもとに事実をひたかくしにする態度では話にもならない p202
原子力発電の当事者、とくに電力会社などからは、むりしてでも原子力発電をしなければ、カラー・テレビが見れなくなるとか、ロウソクの生活にもどらなければならなくなるとかいう宣伝が流されているが、これは電力消費の実績からみて、全く事実を歪めた脅迫というほかない p203
基本的に、「公開」「民主」「自主」の三原則を忠実にまもる以外に、日本の原子力の将来はなく、住民に納得される道もありえないのである p204
まったくもってその通り、としかいいようがありません。
ここまで指摘されておきながら、なにひとつ対応できていなかった原子力業界。また、これほど的確な批判をされておきながら、まったく生かせなった日本の学術界とは、なんなのでしょうか。
そういうことを、原点に戻って考えさせられる一冊といえましょう。
NATROM氏はどこで道をあやまったのか〜AMA1994をちゃんと読もう〜
承前。
http://d.hatena.ne.jp/sivad/20130718/p1
http://d.hatena.ne.jp/NATROM/20130907#p1
http://d.hatena.ne.jp/NATROM/20130829#p1
まずひとついえることは、NATROM氏はAMAに準拠したいならばまずは文章を文章としてちゃんと読むことですね。
部分的に切り取って勝手に解釈を広げていくから誤解に誤解を重ねてしまうのです。
前回も書いたように、1994年時点でのAMA報告書も、きちんと読めば化学物質過敏症を否定などしていません。部分的な見解を拡大解釈していけば、氏のようにどんどんおかしな方向に走ってしまいます。
というわけで、再度、AMA1994年報告書の該当部分を訳しておきました。まちがい等ございましたら、コメントにてご指摘くださいませ。
まずは、以下の文章をお読みください。
AMA等による”Indoor Air Pollution”のQuestions That May Be Askedより、MCS関連の部分です。
問われるであろう質問
室内の空気汚染は様々な議論のある主題である。室内空気の性質は現在進行中の問題だ。この領域に関する、たえざる発展に関して情報収集を怠らないことが重要である。以下の質問は医師や他の分野の医療専門家たちに問われるであろう質問群である。
化学物質過敏症(MCS)、あるいはトータルアレルギーとはなにか?
MCSという診断名、化学物質過敏症あるいは環境不耐性ともいわれる診断名は、ますます増えているが、現象の定義は除外診断的でありはっきりとした総体としての発生機序は確定していない。MCSはその診断を受ける患者が増えるにしたがって広く知られるようになり、議論を引き起こした。
MCSという診断がなされる患者は、揮発性の物質を含む物質群への接触あるいは接近の結果、複数のシステムによる不調にみまわれているといわれている。それらの物質には、早くから汚染源として認識されていたもの(たとえばタバコの煙やホルムアルデヒドなど)や、その他の通常では無毒と考えられてきたもの、双方が含まれるようだ。MCSのコンセプトを支持する何名かは、一般に認識されている過敏症のタイプに加え、ある種の関節炎や大腸炎といった慢性疾患もこれによって説明できるかもしれないと考えている。
これらの状態は純粋に精神的なものであると考えている治療家もいる。ある研究では、この診断を受けた患者には、対照群では28%程度である、抑うつや不安障害、身体表現性障害が65%の頻度でみられたと報告している。しかしこれに対しては、過敏症を発症した患者は通常の生活を送ることが困難になるため、それが精神的な不調にもつながるのであろうこと、また神経系の障害からそれらの不調があらわれる可能性があるとの反論がある。
現在では、MCSとの主訴がある、あるいはその可能性が高い場合、それらの主張を精神的なものとして却下するべきでなく、包括的な検査をすることが不可欠である、というのがコンセンサスである。プライマリケアを施す者は、患者に潜在的な生理的問題がないことを確認し、アレルギー医や他の専門家の診断を受けることの意義を考えるべきである。臨床環境医とはだれか?
臨床環境医学は、コンベンショナルな(主流の)専門科としては認識されていないにも関わらず、一般人のみならず医療専門家たちの関心を集めている。臨床環境医、つまりトータルアレルギーあるいはMCSによって被害を受けていると考える患者を治療する医師の団体は、臨床環境医学協会として設立され、現在では米国環境医学アカデミーとして知られている。そのメンバーは他の伝統医学の専門領域から、アレルギー医や内科医を集めてきた。
…お読みいただけたでしょうか?
その上で、ちょっとした国語の論説文の問題になりますが、上記の文章の内容として適切な方を選んでみましょう。
1. 化学物質過敏症は医原病で心因性としてあつかうべきであり、臨床環境医を避けるべきである
2. 化学物資過敏症を医原病や心因性としてあつかうべきではなく、臨床環境医等の診断の意義も認めるべきである
普通に読めば、2であることは明らかでしょう。むしろ、1のような主張に対して、やんわりとたしなめるような文章、といってよいくらいです。
これを1のように勘違いしてしまうのは、たとえばコンベンショナルでない、という部分にのみ固執してしまい、全体の文章を読めていないということでしょうね。
もちろん、http://members.jcom.home.ne.jp/natrom/consensus.htmlでの氏の解釈が見当違いなのはいうまでもありません。
ちなみにある分野がコンベンショナル(主流)な専門科であるかどうかということそれ自体は、化学物質過敏症に関して科学的な結論につながるよう情報ではありません。
たとえば米国ではオステオパシーという分野はコンベンショナルな専門科とされていますが、日本では代替医療です。
http://www.nhs.uk/conditions/Osteopathy/Pages/Introduction.aspx
逆に漢方は日本では保険適用分野ですが、欧米では代替医療です。
http://www.ncbi.nlm.nih.gov/pmc/articles/PMC516460/
米国では化学物質過敏症を主にあつかうのは臨床環境医学とされていますが、デンマークの報告書にあるように、米国以外で化学物質過敏症を治療・研究しているのは必ずしも臨床環境医ではありません。
http://www.ne.jp/asahi/kagaku/pico/sick_school/cs_kaigai/mcs_Danish_EPA.html#2.1%20MCS%E3%80%81%E7%99%BA%E5%B1%95%E3%81%AE%E6%AD%B4%E5%8F%B2
これら分野のとりあつかいは各国のさまざまな社会的政治的事情もからむことがらで、ここから化学物質過敏症がどうであるかという結論が引き出せるようなものではないのです。
そして、AMAがせっかくこのようにたしなめてくれているにもかかわらず、つまみ食いで誤解を重ねに重ねてしまっているのが、現在のNATROM氏です。
くりかえしましょう。
https://twitter.com/NATROM/status/343369547455270912
「化学物質過敏症患者が反応する対象は患者の恣意によって左右されている」というのは、たとえば、「放射能」を不安に思う人が瓦礫焼却に対して「反応」する一方で、瓦礫受け入れに賛成する人には反応しなかったりすることを指します。
https://twitter.com/NATROM/status/344017514835095554
臨床環境医たちが厳しい診断基準を作らなかった理由を、「顧客が減るから」だと私は推測する。連中は患者のことなんて考えてないよ。不安を煽って顧客が増えればそれでよかったのだろう。
https://twitter.com/NATROM/status/344020644603764737
化学物質過敏症は臨床環境医によってつくられた「医原病」だと思う。
https://twitter.com/NATROM/status/343387391605735426
香り付き柔軟剤で調子が悪くなる人がいるのはよくわかる。しかし、「ドアを開けると放射性物質が入ってくるのが感じられる」とか「3m先の野菜の残留農薬に反応する」とかはわからない。柔軟剤で調子が悪くなる人も、一緒にされたくないでしょ?
はたしてAMAはこのような放言を推奨しているでしょうか?
いえ、そのまったく正反対なのですよ。
一部否定的な人たちはいるのでしょうが、そういうところだけ切り取って暴走しているのが、現在のNATROM氏です。
AMAは医療者として、彼よりずっととまともですよ。
これも繰り返しになりますが、AMA1994がいうように、この分野は発展中なのであって、より最新の知見をとりいれたオーストラリア(2010)やデンマーク(2005)の報告書が現時点の資料としてはおススメできるものといえます。
オーストラリア(2010)
http://www.nicnas.gov.au/__data/assets/pdf_file/0005/4946/MCS_Final_Report_Nov_2010_PDF.pdf
デンマーク(2005)
http://www.ne.jp/asahi/kagaku/pico/sick_school/cs_kaigai/mcs_Danish_EPA.html
デンマーク報告書和訳の結語を読んでみましょう。
http://www.ne.jp/asahi/kagaku/pico/sick_school/cs_kaigai/mcs_Danish_EPA.html#9.3%20%E5%8B%A7%E5%91%8A
MCSの存在に関する知見について大きな不確実性があり、もっと知らなくてはならないという必要性はあるが、現在の我々の知識によっても、MCSは現実のものであり、ある人々は低濃度の化学物質への曝露に対しても特に過敏であるということが示されている。
日々の化学物質の使用を削減することに一般的に注力することによって、MCSの問題は、子どもや妊婦のような曝露しやすく感受性の高いグループの一般的な保護、そしてそのことによるMCSの新たな発症の防止に寄与することができる。MCSの一般的な認知は、またMCS患者と彼等の問題に対するより良い理解をもたらし、そのことで彼等の日々の生活を少しでも楽にすることに貢献できることが望ましい。
そういうことですね。
オーストラリアも、デンマークも、1994年のAMAですら、その時点での知見を総合した結果として、化学物質過敏症が医原病だの心因性だのといった立場はとっていないのですよ。
現在進行形で誤謬をばらまいているのは、残念ながらNATROM氏ご本人というわけです。
AMA原文はこちら
http://www.epa.gov/iaq/pubs/hpguide.html#faqs
Questions That May Be Asked
The subject of indoor air pollution is not without some controversy. Indoor air quality is an evolving issue; it is important to keep informed about continuing developments in this area. The following questions may be asked of physicians and other health professionals.
What is "multiple chemical sensitivity" or "total allergy"?
The diagnostic label of multiple chemical sensitivity (MCS) -- also referred to as "chemical hypersensitivity" or "environmental illness" -- is being applied increasingly, although definition of the phenomenon is elusive and its pathogenesis as a distinct entity is not confirmed. Multiple chemical sensitivity has become more widely known and increasingly controversial as more patients receive the label.Persons with the diagnostic label of multiple chemical sensitivity are said to suffer multi-system illness as a result of contact with, or proximity to, a spectrum of substances, including airborne agents. These may include both recognized pollutants discussed earlier (such as tobacco smoke, formaldehyde, et al.) and other pollutants ordinarily considered innocuous. Some who espouse the concept of MCS believe that it may explain such chronic conditions as some forms of arthritis and colitis, in addition to generally recognized types of hypersensitivity reactions.
Some practitioners believe that the condition has a purely psychological basis. One study reported a percent incidence of current or past clinical depression, anxiety disorders, or somatoform disorders in subjects with this diagnosis compared with 28 percent in controls. Others, however, counter that the disorder itself may cause such problems, since those affected are no longer able to lead a normal life, or that these conditions stem from effects on the nervous system.
The current consensus is that in cases of claimed or suspected MCS, complaints should not be dismissed as psychogenic, and a thorough workup is essential. Primary care givers should determine that the individual does not have an underlying physiological problem and should consider the value of consultation with allergists and other specialists.
Who are "clinical ecologists"?
"Clinical ecology", while not a recognized conventional medical specialty, has drawn the attention of health care professionals as well as laypersons. The organization of clinical ecologists-physicians who treat individuals believed to be suffering from "total allergy" or "multiple chemical sensitivity" -- was founded as the Society for Clinical Ecology and is now known as the American Academy of Environmental Medicine. Its ranks have attracted allergists and physicians from other traditional medical specialties.
続・NATROM氏はどこで道をあやまったのか〜”allergists and other specialists”とはだれか〜
承前。http://d.hatena.ne.jp/sivad/20130809/p1
さて、先日のエントリにNATROM氏から、興味深いコメントをいただきました。
NATROM
"thorough workup"の訳は確かにまずかったけど、これが意味するのはアレルギー等の既知の疾患の検査のことです。だから臨床環境医ではな く"allergists and other specialists"にコンサルトしろとあるのです。
(http://b.hatena.ne.jp/entry/d.hatena.ne.jp/sivad/20130809/p1)
おや、claimやsuspectやゴールドスタンダードの件はどうなりました?
ともかく、これは先日の
http://www.epa.gov/iaq/pubs/hpguide.html#faq1
The current consensus is that in cases of claimed or suspected MCS, complaints should not be dismissed as psychogenic, and a thorough workup is essential.
『化学物質過敏症であるとの患者の訴えや、その疑いがある場合には、そういった訴えを精神的なものとして却下するのではなく、包括的な検査をすることが不可欠である、というのが現在のコンセンサスである。』
の後にあるセンテンスのことでしょう。訳してみましょうか。
Primary care givers should determine that the individual does not have an underlying physiological problem and should consider the value of consultation with allergists and other specialists.
『プライマリケア*1にあたる者は、患者に生理学的問題が潜んでいないことを確認し、そしてアレルギー医や他の専門家の診察を受けることの意義を考えるべきである。』
そしてこれには、Who are "clinical ecologists"?の項が続いています。
Who are "clinical ecologists"?
"Clinical ecology", while not a recognized conventional medical specialty, has drawn the attention of health care professionals as well as laypersons. The organization of clinical ecologists-physicians who treat individuals believed to be suffering from "total allergy" or "multiple chemical sensitivity" -- was founded as the Society for Clinical Ecology and is now known as the American Academy of Environmental Medicine. Its ranks have attracted allergists and physicians from other traditional medical specialties.
『臨床環境医とはだれか?
臨床環境医学は、主流*2伝統的な医学の専門領域とは認識されていないが、一般人と同様、医療専門家の注目を集めている。臨床環境医、つまりトータル・アレルギーあるいは多種類化学物質過敏症によって被害を受けていると考える患者を治療する医師、の組織は、臨床環境医学会として設立され、アメリカ環境医学アカデミーとして知られている。その構成員は、他の伝統医学の専門領域から、アレルギー医や内科医を集めてきた。』
さて、いかがでしょうか。
臨床環境医学はAMAで主流*3な枠組みとしては認識されていなかった、これがおそらくワンクッション置いて”allergists and other specialists”とした理由でしょう。
しかしながら、その後を読むと、排除どころか擁護的に書かれていることがわかります。
臨床環境医学は一般人のみならず、医療専門家の注目を集めているということ。
clinical ecologistsをphysicians(正規の医師)と書いていること。
臨床環境医学会には、アレルギー医や内科医が集まっているということ。
つまり主流と認識されてはいないが、単なる素人の集まりではなく、専門性をもった集団であることが強調されているわけです。"allergists and physicians"〜のくだりも、”allergists and other specialists”に対応して書かれているのでしょう。排除したければother conventional specialistとでもすればいいことですが、そうせずに、直後にこのような擁護的記述を続けている。
つまり、非常に慎重な書き方ではありますが、これらは臨床環境医を排除するための記述ではなく、むしろ”allergists and other specialists”と”clinical ecologists”が重なり合っていることを認識してもらうための文章だといえるでしょう。conventionalと認識されていない、という点だけで判断するのは早計です。
ではAMA1994年勧告におけるこれまでの内容を、簡単にまとめてみましょう。
1.化学物質過敏症の訴えや疑いがあるなら心因性とせず、包括的な検査を行うべきである
2.患者に生理学的問題がないことを確認したら、アレルギー医やその他の専門家の診察を受けさせることも考えるべき
3.臨床環境医学は主流な専門領域としては認識されていないが、専門家にも注目され、臨床環境医学会にはアレルギー医や内科医が集まっている
このように、ここでは、臨床環境医は診察を受ける対象として排除などされていません。きちんと読めば、慎重にはあつかっていますが、むしろその意義を擁護している文章だということがわかるでしょう。
ここでもやはり、NATROM氏はAMAの勧告を反対方向に受け取ってしまっているわけですね。
まとまった訳はこちらに置きました。
http://d.hatena.ne.jp/sivad/20130912/p1
*1:http://www.ninjal.ac.jp/byoin/teian/ruikeibetu/teiango/teiango-ruikei-c/primarycare.html
*2:conventionalはこちらhttp://www.cancer.gov/dictionary?cdrid=449752にしたがい、主流と訳します。以下、それに応じて修正しました。大変失礼しました。
*3:ただし、こういった枠組みは各国で異なっているようです。http://www.ne.jp/asahi/kagaku/pico/sick_school/cs_kaigai/mcs_Danish_EPA.html
NATROM氏はどこで道をあやまったのか〜2002年、ある分岐点〜
承前。http://d.hatena.ne.jp/sivad/20130718/p1
続々々・NATROM氏『化学物質過敏症は臨床環境医のつくった「医原病」だと思う』等について…なのですが、さすがにくどいのでタイトルを変更しますね。
さて、NATROM氏はAMA(米国医師会)1992年報告書を中心的な根拠としてあげていますが(http://d.hatena.ne.jp/NATROM/20130711#p1)、その2年後、1994年に出ている同会らの報告書には以下の記述があります。
The current consensus is that in cases of claimed or suspected MCS, complaints should not be dismissed as psychogenic, and a thorough workup is essential.
直訳すれば、
『化学物質過敏症であるとの患者の訴えや、その疑いがある場合には、そういった訴えを精神的なものとして却下するのではなく、包括的な検査をすることが不可欠である、というのが現在のコンセンサスである。』
とのようになり、つまりは心因性だので片づけるのではなく、いろいろな方法で包括的に検査しなければいけないよ、ということで、まさに 宮田幹夫氏や坂部貢氏といったいわゆる環境臨床医と呼ばれる方々が取り組んでいる方向性を示しています。
http://www.kitasato-u.ac.jp/hokken-hp/section/shinryo/allergy/
一方、これまで示したように、NATROM氏の姿勢はこれらAMAの示すところから正反対に向かってしまいました。なぜそうなってしまったのでしょうか?
じつは氏は以下のように、2002年に一度、この文章を取り上げています。
どうも氏はここでなんらかの反論をしたつもりになっているようなのですが、おそらくこの時点で、NATROM氏は致命的なかんちがいをしているようなのです。
氏による訳と解釈をみてみましょう。
The current consensus is that in cases of claimed or suspected MCS, complaints should not be dismissed as psychogenic, and a thorough workup is essential.(多種類化学物質過敏症だと主張されている、あるいは多種類化学物質過敏症だと疑われている症例においては、訴えを精神的なものとし て見過ごされるべきでなく、完全な検査が必要であるというのが、現在のコンセンサスである)
claimed(〜と主張されている)とかsuspected(〜だと疑われている)という表現になっているのに注意してください。そもそも、上記の引用のすぐ上では、
The diagnostic label of multiple chemical sensitivity (MCS) -- also referred to as "chemical hypersensitivity" or "environmental illness" -- is being applied increasingly, although definition of the phenomenon is elusive and its pathogenesis as a distinct entity is not confirmed.(現象の定義がとらえどころがなく、はっきりした実態としての病因が確定されていないのにもかかわらず、「化学物質過敏症」または 「環境病」とも言われる、多種化学物質過敏症(MCS)の診断的ラベルはますます適用されている。)
とあります。要するに、この報告書では、多種化学物質過敏症の定義はとらえどころがなく、多種化学物質過敏症のはっきりとした病因は確定していないとされているのです。「訴えを精神的なものとして見過ごされるべきでない」というのは、「化学物質過敏症」とされている患者の中には、アレルギーなどの身体的な問題をかかえている人も含まれることを言っているに過ぎず、アメリカ肺協会・アメリカ医師会らの報告書は臨床環境医学の主張するような多種化学物質過敏症の概念を支持しているわけではありません。だから、claimed(〜と主張されている)やsuspected(〜だと疑われている)という表現になっているのです。
(http://members.jcom.home.ne.jp/natrom/consensus.html)
どうもNATROM氏は、claimedやsuspectedという単語を用いているから、化学物質過敏症は否定的にとらえられている、といいたいようです。
しかし、claimやsuspectは医学英語において、「患者の病気に関する訴え」「〜という病気の疑い(可能性)」としてごく普通に用いられる単語であって、そこに否定的ニュアンスはありません。
用例:
・HOSPITAL CLAIM FORM (問診票の一種)
https://www.ahsa.com.au/web/freestyler/files/PrivPatientForm%20%28high%20res%29.pdf
・If you suspect you have cancer (がんの疑いがあるならば…)
http://www.theguardian.com/commentisfree/2012/mar/08/get-cancer-checked-out
NATROM氏はこれを知らず、claimedやsuspectedをAMAが化学物質過敏症を否定的にとらえている根拠だとかんちがいしてしまっています。
また、 thorough workupを『完全な検査』と訳しているのも気になる点です。医学的な検査にはノイズや誤差はつきものであって、「完全な検査」という表現は普通もちいられません。この場合は、「包括的な」「徹底的な」といった訳が適切でしょう。
この表現に引きずられてか、あるいはもともと誤って覚えていたのか。flurryさんのエントリ(http://flurry.g.hatena.ne.jp/flurry/20130802)に詳しいですが、NATROM氏は以下のようなかんちがいを表明しています。
定義上、ある診断方法をゴールドスタンダードと定めると、その診断法は感度100%特異度100%の検査だということになります。「その診断方法を基準にしましょう」という意味。
http://twitter.com/NATROM/status/362502353808658434
ここにも大きなかんちがいが二つあります。
1.「ゴールドスタンダード」は標準的な方法や、もっとも広く使われている方法などをあらわす俗語であって、氏のいうような感度や特異度の定義はありません。
gold standard
Term used to describe a method or procedure that is widely recognized as the best available.
http://www.medilexicon.com/medicaldictionary.php?t=38019(ステッドマン医学事典)
2.診断法において感度と特異度はトレードオフの関係(一方を上げればもう一方は下がる)にあり、感度100%特異度100%という検査は現実には存在しません。
http://minds.jcqhc.or.jp/n/med/4/med0028/G0000070/0091
そして以下のように、NATROM氏は化学物質過敏症診断のゴールドスタンダードは負荷試験であるべき、と考えているようです。
化学物質過敏症の疾患概念を提案した臨床環境医たちは、盲検下負荷試験をゴールドスタンダードにした診断基準に作り直すべきだったのに、そうしなかった。なぜか。
https://twitter.com/NATROM/status/344017019844304897
これらからみえる彼の論理は、まとめるならば
⇒化学物質過敏症診断のゴールドスタンダードは負荷試験
⇒ゴールドスタンダードは感度100%特異度100%
⇒つまり『完全な検査』
⇒『完全な検査』で差が検出できない論文があったから、化学物質過敏症は反証されている
⇒化学物質過敏症は心因性
のようなものであると考えられます。
つまり、かんちがいにかんちがいを重ねた結果、AMAのせっかくの勧告の逆方向に走ってしまったのでしょう。この2002年が、一つの大きな分岐点であったことがうかがえます。この時点でちゃんとこの英文を読んでいれば、軌道修正できたかもしれない。
もちろんここには推測が入っています。が、これまでみてきたようにNATROM氏が多くのかんちがいを重ね、AMAの勧告の反対方向に走り、ゆがめられた情報を広げ、患者に不利益を与え続けていることは現実であり、医学的にも科学的にも大きな問題であるといえます。
NATROM氏は上にあげたAMAの文章をもう一度きちんと読み、なにがまちがっていたのか、ご自身でしっかりと向き合うべきでしょうね。
続々・NATROM氏『化学物質過敏症は臨床環境医のつくった「医原病」だと思う』等について
承前。
http://togetter.com/li/517251
http://d.hatena.ne.jp/sivad/20130704/p1
http://d.hatena.ne.jp/sivad/20130712/p1
まず、UpToDateに関して質問がありましたので補足しておきます。
先に述べたように、UpToDateはひとつの参考として有用な情報源ですが、ある疾患に関して、それをみればすべてわかるというような包括的な情報ではないという点が重要です。つまり、化学物質過敏症に関してこういう見解がある、ということは言えても、これが化学物質過敏症に関する一般的で包括的 な見解である、ということはできないわけです。
この点でまず資料の使い方に問題があるといえ、『化学物質過敏症は臨床環境医のつくった医原病』と一般化した氏の発言の根拠として不適切といえます。
http://goo.gl/HdI6L
内容に関しても、こちらのUpToDate記事には米国の臨床環境医の治療が不適切な場合があるとの指摘はありますが、『化学物質過敏症が臨床環境医がつくった医原病』であるとの論証はありません。
ここでは生理的エビデンスの不足を述べていますが、たとえばこちらで免疫システムは関係ない、との根拠にされている文献は1986年および1993年のもの2件のみ、酸化ストレスに関しても1992年1999年の2件のみと、きわめて古く限定的で、近年の多数の免疫学的分子生物学な知見が考慮されているとは到底いえません。こちらの著者(精神科医)は、生命科学の知識に関してはかなり遅れており、偏っていることがわかります。
科学的知見の反映に関して、先に紹介した豪政府レポートの方がはるかに包括的であり、また進んでいるということができます。
また精神的ケアの重要性を述べていますが、それは日本で化学物質過敏症の治療に当たる医師らも述べていることであり、医原病の根拠にはならず、当然顧客が増えればだのなんだのと侮辱する必要はありません。
さらに、ここには
『治療者は精神的症状は最終的には脳神経における生物学的問題であることを留意せよ』
(clinicians should remember that all psychiatric illness is ultimately a disorder of brain biology)、
『化学物質過敏症が心因性であるとの指摘が治療に有益であるかどうかは明らかでない*1』
( it is not clear that the success of psychotherapy depends upon whether patients relinquish their belief that IEI is due to toxic causes.)
とあり、この点からもNATROM氏の発言はなんら正当化されえませんし、むしろ治療の妨害に当たるといえましょう。
せっかくなので水俣病を利用した氏の論点ずらしにも多少つきあっておきましょう。
水俣病と化学物質過敏症は違う疾患なのだから、『水俣病と化学物質過敏症が違う』のは当たり前です。
水俣病には疫学的証拠があったが、化学物質過敏症には不足している、のように氏は書いていますが、なにがいつどの程度あれば十分で、どのくらい不足していれば『医原病』になるというのでしょうか?
水俣病は公式には1956年に認められましたが、50年代初頭にはすでに患者がいたとの証言もあります。劇症型の水俣病はわかりやすかったために比較的早く認定されましたが、わかりにくい軽症型の認定は排除され、胎児性水俣病は調査そのものが行われなかったため、認定がされず、多くの被害者を今も苦しめています。
化学物質過敏症に限らず、状況や症状によっては調査や研究の進展に差が生まれるのは当たり前です。
同じなのは水俣病と化学物質過敏症ではなく、政府や加害企業の公害被害を悪化させる姿勢がNATROM氏と共通している、ということです。
またAMAの1992年(!)時点での見解を上げていますが、現在も多くの議論があるとはいえ、『環境医がつくった医原病である』だのという極論はここからは導かれません。しかもその後も現在にいたるまで化学物質過敏症に関する知見は蓄積し続けており、疾患が否定されるような状況は存在しません。また化学物質過敏症(MCS)という表現も、多くの論文や報告書で使用され続けています。呼称に関しては実際の診療や研究に従事する医師や研究者、患者の間でいずれ合意がとれていくことでしょう。
また、先に書いたように、化学物質過敏症には『疫学的根拠』はあります。氏は杉並病は化学物質過敏症ではないと考える、と根拠もなく書いていますが、これもまた公害問題によく見受けられるご都合主義というしかありません。
では、次のエントリにうつりましょう。
http://d.hatena.ne.jp/NATROM/20130716#p1
まず最初の段落。
また論点ずらしです。いいかげんにしてもらいたいものです。
ホメオパシーの批判はどうぞご自由に、また疑わしい医師がいれば個別に批判すればよろしい。そこから化学物質過敏症や環境医に一般化するのは詭弁としかいいようがありません。
また先に述べたように、特定の実験条件で差が見えないことは、環境条件において超微量の化学物質群一般と関係がないことは意味しません。その条件で検出できない、ということを示すだけです。
ちなみに、二重盲検法で検討して差が検出できた例がないというのも間違いです。
http://jglobal.jst.go.jp/public/20090422/200902130694109899
次からやっと本題に入れそうです。
順に見ていきましょう。
「「化学物質過敏症患者が反応する対象は患者の恣意によって左右されている」というのは、たとえば、「放射能」を不安に思う人が瓦礫焼却に対して「反応」する一方で、瓦礫受け入れに賛成する人には反応しなかったりすることを指します」
http://www.ncbi.nlm.nih.gov/pubmed/12764204
さて、氏は上記論文が『化学物質過敏症患者が反応する対象は患者の恣意』の根拠だといいますが、一部の症状に心理的な影響がある可能性を示唆、ならともかく、『化学物質過敏症患者が反応する対象は患者の恣意』との強い主張をできるものでは到底ありません。
まず、ここではチェックリストでの質問で『症状』を定義していますが、これが実際の患者の『症状』と同一であるとの検証はしていません。実験における仮の『症状』と、実際の患者の『症状』をそう簡単に同一視してはいけない、というのは医学研究の基礎的な注意点です。二重盲検信仰もそうですが、どうもNATROM氏の言動には、そういった医学研究の実際的な機微が感じられません。
また、そもそも、そういった外部からの条件付けを『恣意』とはいいません。
http://kotobank.jp/word/%E6%81%A3%E6%84%8F
し‐い 【恣意】
自分の思うままに振る舞う心。気ままな考え。「選択は―に任せる」「―的判断」
『恣意』というのは上にあげたように、「思うまま」のようなニュアンスを含むものであり、心理的影響の可能性を示すには不適切であるばかりか、病因を患者に責任転嫁する意味にもなりかねません。患者さんが不快になるのも当然でしょう。
そして心理的影響の可能性は当の環境医がすでに考慮し、ケアしていることは先に示しました。棚上げ?誰が?ということですね。*2
がれき云々の話はそもどれだけの根拠があるのかわかりませんが、たとえば化学物質過敏症の既往や疑いがある方が微量の放射性物質や化学物質を心配するのは当然であるし、またそういう方が微量の放射性物質および化学物質に実際に反応したとして、なんの矛盾もないのだけれど、たったこれだけのことも理解できないのは、氏の思考が『心因性』で凝り固まってしまっているからでしょう。
「臨床環境医たちが厳しい診断基準を作らなかった理由を、「顧客が減るから」だと私は推測する。連中は患者のことなんて考えてないよ。不安を煽って顧客が増えればそれでよかったのだろう」
ここもお話にならないですね。
もちろん原因や機序を探ることは重要でしょう。しかしすでに述べたように、人間の高次機能に関する疾患の研究はきわめて困難であって、遅々とした歩みにならざるを得ません。
しかも水俣病においてもそうでしたが、十分な解明もないままに『厳しい診断基準』を設定することは、いわゆる「非典型例」患者の排除につながり、病因や病態の解明そのものすら阻害しかねません。
またここでも二重盲検信仰というべきまちがいを犯しています。実験条件そのものが確立していない状況で二重盲検で差が出ないということは、環境条件下での化学物質の関与の否定にはなりませんし、プラセボで『実験上の症状』が出ることは、実際の疾患が心因性であることを意味しません。
当然ながら、顧客が減るからだとか、不安を煽って顧客が増えればそれでよかった、などという結論は一切出てきません。
「大事なのは治療?それとも医者の面子?」という言葉はNATROM氏に対してこそふさわしいと私は考えます。
「化学物質過敏症は臨床環境医によってつくられた「医原病」だと思う。」
さて、氏の引用しているデンマークの報告書を見てみましょうか。
確かに、1995年あたりに「医原病モデル」を唱えたグループはいたようですが、現在は2013年です。
そこから蓄積した知見による結論が現在どうなっているか、「原因とメカニズム」のまとめ部分を見てみましょう。
At present, most researchers agree on the following:
1. The mechanism is based on an interaction between one or more physiological and psychological factors and
2. MCS is primarily seen in persons, who react more readily to external environmental impacts than others.The following hypothesis can be put forward: The illness mechanism behind MCS involves both physiological and psychological impacts on certain brain centres in particularly predisposed persons.
現在、ほとんどの研究者は以下の見解に同意している。
1.化学物質過敏症の機序は複数の生理的・心理的要因の相互作用による
2.化学物質過敏症は、外的環境に対して他よりも感受性が高い状態にある個人においてまずみられる
ここから以下の仮説が推奨される:化学物質過敏症における機序には、特に感受性が高くなっている一次曝露を受けた個人の脳の特定部位に対する、生理的心理的双方のインパクトが含まれる。
終了ですね。
追記:デンマークの報告書はこちらに和訳版がありました。
http://www.ne.jp/asahi/kagaku/pico/sick_school/cs_kaigai/mcs_Danish_EPA.html
引用したツイートはもうひとつありますが、そちらの説明はないようです。
https://twitter.com/NATROM/status/343387391605735426
「香り付き柔軟剤で調子が悪くなる人がいるのはよくわかる。しかし、「ドアを開けると放射性物質が入ってくるのが感じられる」とか「3m先の野菜の残留農薬に反応する」とかはわからない。柔軟剤で調子が悪くなる人も、一緒にされたくないでしょ?」
まとめると氏がやっていることは
・その疾患の診断にも治療にも研究にも実際には従事したことのない医師が、
・心理的影響「も」ある、という見解を拡大解釈し、
・実際の患者に対して、偏った考えをもとに干渉し、精神的苦痛を与え、患者間や主治医との分断をうながし、
・これらを指摘されても謝罪もなければ改めることもない
今まさに患者に不利益を与えているのが、ほかならぬNATROM氏本人だといえるでしょう。
どんな分野にもおかしな方はいますから、いわゆる環境医と呼ばれる中にも、おかしな方はいるでしょう。であればその人個人を批判すればよろしい。
ただし、化学物質過敏症に関する氏の姿勢は、自身が「おかしな方」であるといわざるをえません。
氏が本当に医師であるのかどうかは私は知りませんが、少なくとも医師の立場からこういうことを続けるのであれば、大きな問題であるといわざるをえないでしょう。
もう一度書きましょう。
「大事なのは治療?それとも医者の面子?」という言葉はNATROM氏に対してこそふさわしいと私は考えます。
このままの姿勢を続けるのであれば、いずれ患者さん達が断固たる措置をとることもありうるでしょうね。
追記:
ちなみに、NATROM氏は認知療法に関して触れており、化学物質過敏症に対して有意ではないものの、ある程度の有効性が考えられる方法*3も以下のように存在します。
Mindfulness-based cognitive therapy to treat multiple chemical sensitivities: a randomized pilot trial.
http://www.ncbi.nlm.nih.gov/pubmed/22530938/
しかし認知療法といっても、このMindfulness-based cognitive therapyは、化学物質過敏症が化学物質によるとか心因性だとかいった認識の矯正とは異なり、瞑想をメインとする以下のような一種のストレス低減法です。
http://d.hatena.ne.jp/n_n/20110706/p1
マインドフルネスストレス低減法
マインドフルネス認知療法:うつを予防する新しいアプローチ
UpToDateの項に示したように、認識への介入の有効性は明らかではありません。しかし患者のストレス一般を減らすことは大事だということでしょう。別にこれも環境医が否定していることではありませんし、そもこのメソッドが医療現場に入ってきたこと自体が最近のことであって、環境医のせいで遅れたわけではない。
ではNATROM氏の発言は患者のストレスを減らしているか? 否、明らかに増やしています。氏と関わった化学物質過敏症の患者さんに伺えばよろしい。
主治医でも精神科医でもないにも関わらず、医原病や心因性との偏った知識に凝り固まり、治療に意義があるかどうかもわからない認知への介入を行い、患者のストレスを無益に増やしている。
それが氏のやっていることです。そろそろ気づかれてはいかがでしょうか?
*1:直訳だと『心理療法の成果が患者がIEIが物質毒性要因によるものだという考えを廃することによるかは不明である』のような感じ
*2:http://www.igaku-shoin.co.jp/nwsppr/n2002dir/n2510dir/n2510_03.htm
*3:In conclusion no significant differences on effect measures were found, which could be a question of power. The positive verbal feedback from the participants in the MBCT group suggests that a larger randomized clinical trial on the effect of MBCT for MCS could be considered.